生涯を共にする動物たち:一夫一婦の生物5種

人間の社会においては単婚、つまり一夫一婦の制度を支持する人もいれば、それは動物として不自然だと考えている人もいます。良好な関係を続けるうえで一夫一婦の仕組みが必要な人もいれば、より開放的な関係のあり方が向いている人もいます。
一方で動物の世界にも、少数ではありますが一夫一婦の方式をとる種があります。ここでご紹介する5つの種類の動物は、私たち自身の人間関係を考え直すきっかけになるかもしれません。
テナガザル:誰よりも献身的な霊長類
上記写真にあるテナガザルの平均寿命は35~40年ですが、その生涯にわたって仲間との密な関係性を築きます。他の動物と比べるとかなり遅い5歳で性的に成熟した後は、ただ一頭の相手だけに目を向け続けます。
テナガザルはときに命を賭けてまで守るほどに、パートナーを大切にします。たいへん騒々しい彼らですが、木の枝に座って生涯の伴侶と毛づくろいをしている姿は珍しくありません。また、何かを感じるとよく声に出して表現します。ただし、テナガザルのパートナーに対する忠誠は一生守られるとは限りません。中には、別れてしまって浮気に走るカップルもいます。
タイリクオオカミの優しい一面
タイリクオオカミではオスとメスのペアが集まって群れを作ります。このペアはどちらかが死ぬまで、生涯を共にします。群れのオオカミたちは互いの子育てを手伝い、子供たちが家族のために獲物を捕れるよう、狩の仕方を教えます。

アルファ(リーダー)の夫婦は文字通り、死が二頭を分かつまで互いを繁殖のパートナーとします。オオカミの出産と子育てには一定の周期があり、タイリクオオカミのメスでは1月と2月が発情期にあたります。
ビーバーの功利主義的な単婚
一夫一婦の形式を取る動物の中には人間たちの愛と賞賛を集めているものもいますが、研究によると、そういった動物の一部は実際のところ、むしろ新しいパートナーを探す手間を惜しんでいるだけというのが正確なようです。

ここで取り上げるビーバーは、そんな動物の内のひとつです。ビーバーはほとんどの時間を自分で作ったダムや巣穴で過ごすので、繁殖以外にもこれらの建設作業をおろそかにするわけにはいきません。
ビーバーは子育ての期間中であっても、朝から晩まで作業を続けなければいけません。そうしなければせっかく時間をかけて作ったダムも、水流で押し流されてしまうからです。ビーバーの例では単婚と夫婦のチームワークがうまく組み合わさって、より実際的な面で夫婦の生活を支えているのです。
美しい白鳥たちの愛
鳥類では一夫一婦の形式を取る種が多くいますが、白鳥のオスが見せる献身は動物界全体でも際立っています。

白鳥のオスはメスが巣を作るときの手助けに加えて、交代で卵を温めることもします。他のさまざまな種の子育てで、オスがこまごました雑多な役割を手伝うだけなのとは対照的です。さらにおもしろいことに、白鳥のオスは伝統的な男女の役割分担を変えてしまいます。
ここまでご紹介した動物たちは皆、繁殖のパートナーとして特定の相手と生涯を過ごします。素晴らしいことですが、そこには常に生き残りのための合理的な理由があるのです。
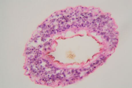
腸内の寄生虫、マンソン住血吸虫
その名が示すとおり、この寄生虫は住血吸虫症と呼ばれる病気の原因となります。寄生虫と聞くとロマンチックさとは程遠い存在に思えますが、(そしてその舞台が人体であることに変わりはありませんが、)実はこういったワーム類の中では珍しく、この種は単婚の生態をもちます。

この腸内寄生虫は人の皮膚にある毛包から侵入します。そして血液中に幼虫を産むことで、肺やリンパからやってくる栄養を利用できるようにします。愛し合うカップルが一日に産む卵の数はおよそ300です。
人間の社会においては単婚、つまり一夫一婦の制度を支持する人もいれば、それは動物として不自然だと考えている人もいます。良好な関係を続けるうえで一夫一婦の仕組みが必要な人もいれば、より開放的な関係のあり方が向いている人もいます。
一方で動物の世界にも、少数ではありますが一夫一婦の方式をとる種があります。ここでご紹介する5つの種類の動物は、私たち自身の人間関係を考え直すきっかけになるかもしれません。
テナガザル:誰よりも献身的な霊長類
上記写真にあるテナガザルの平均寿命は35~40年ですが、その生涯にわたって仲間との密な関係性を築きます。他の動物と比べるとかなり遅い5歳で性的に成熟した後は、ただ一頭の相手だけに目を向け続けます。
テナガザルはときに命を賭けてまで守るほどに、パートナーを大切にします。たいへん騒々しい彼らですが、木の枝に座って生涯の伴侶と毛づくろいをしている姿は珍しくありません。また、何かを感じるとよく声に出して表現します。ただし、テナガザルのパートナーに対する忠誠は一生守られるとは限りません。中には、別れてしまって浮気に走るカップルもいます。
タイリクオオカミの優しい一面
タイリクオオカミではオスとメスのペアが集まって群れを作ります。このペアはどちらかが死ぬまで、生涯を共にします。群れのオオカミたちは互いの子育てを手伝い、子供たちが家族のために獲物を捕れるよう、狩の仕方を教えます。

アルファ(リーダー)の夫婦は文字通り、死が二頭を分かつまで互いを繁殖のパートナーとします。オオカミの出産と子育てには一定の周期があり、タイリクオオカミのメスでは1月と2月が発情期にあたります。
ビーバーの功利主義的な単婚
一夫一婦の形式を取る動物の中には人間たちの愛と賞賛を集めているものもいますが、研究によると、そういった動物の一部は実際のところ、むしろ新しいパートナーを探す手間を惜しんでいるだけというのが正確なようです。

ここで取り上げるビーバーは、そんな動物の内のひとつです。ビーバーはほとんどの時間を自分で作ったダムや巣穴で過ごすので、繁殖以外にもこれらの建設作業をおろそかにするわけにはいきません。
ビーバーは子育ての期間中であっても、朝から晩まで作業を続けなければいけません。そうしなければせっかく時間をかけて作ったダムも、水流で押し流されてしまうからです。ビーバーの例では単婚と夫婦のチームワークがうまく組み合わさって、より実際的な面で夫婦の生活を支えているのです。
美しい白鳥たちの愛
鳥類では一夫一婦の形式を取る種が多くいますが、白鳥のオスが見せる献身は動物界全体でも際立っています。

白鳥のオスはメスが巣を作るときの手助けに加えて、交代で卵を温めることもします。他のさまざまな種の子育てで、オスがこまごました雑多な役割を手伝うだけなのとは対照的です。さらにおもしろいことに、白鳥のオスは伝統的な男女の役割分担を変えてしまいます。
ここまでご紹介した動物たちは皆、繁殖のパートナーとして特定の相手と生涯を過ごします。素晴らしいことですが、そこには常に生き残りのための合理的な理由があるのです。
腸内の寄生虫、マンソン住血吸虫
その名が示すとおり、この寄生虫は住血吸虫症と呼ばれる病気の原因となります。寄生虫と聞くとロマンチックさとは程遠い存在に思えますが、(そしてその舞台が人体であることに変わりはありませんが、)実はこういったワーム類の中では珍しく、この種は単婚の生態をもちます。

この腸内寄生虫は人の皮膚にある毛包から侵入します。そして血液中に幼虫を産むことで、肺やリンパからやってくる栄養を利用できるようにします。愛し合うカップルが一日に産む卵の数はおよそ300です。
引用された全ての情報源は、品質、信頼性、時代性、および妥当性を確保するために、私たちのチームによって綿密に審査されました。この記事の参考文献は、学術的または科学的に正確で信頼性があると考えられています。
https://misanimales.com/5-especies-monogamas-que-desafian-nuestra-concepcion-de-las-relaciones-de-pareja/
このテキストは情報提供のみを目的としており、専門家との相談を代替するものではありません。疑問がある場合は、専門家に相談してください。







